Prothèse Plus

prothese__emblem blanc

Adjointes

Prothèse Adjointe (amovible)

Qu’est-ce que c’est ?

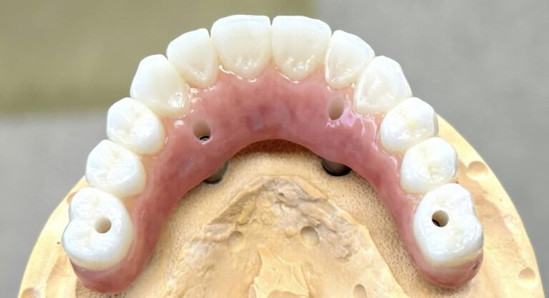
La prothèse adjointe est une solution amovible permettant de remplacer une ou plusieurs dents absentes. Elle est conçue pour s’adapter parfaitement à la morphologie du patient et lui redonner confort, mastication et esthétique.

Types de prothèses adjointes que nous réalisons :

  • Prothèse partielle en résine : simple, économique, souvent utilisée temporairement.
  • Prothèse partielle métallique (stellite) : plus légère et résistante, avec crochets discrets.
  • Prothèse complète : pour les patients totalement édentés. Disponible en version classique ou implanto-stabilisée.

Avantages :

✔ Réalisable rapidement

✔ Entretien facile

✔ Solution adaptable à différentes situations cliniques

Indications :

Idéal pour les patients avec plusieurs dents manquantes ou une édentation complète, notamment lorsqu’une solution fixe n’est pas envisageable.

Prothèse Adjointe (amovible)

Qu’est-ce que c’est ?

La prothèse adjointe est une solution amovible permettant de remplacer une ou plusieurs dents absentes. Elle est conçue pour s’adapter parfaitement à la morphologie du patient et lui redonner confort, mastication et esthétique.

Types de prothèses adjointes que nous réalisons :

  • Prothèse partielle en résine : simple, économique, souvent utilisée temporairement.
  • Prothèse partielle métallique (stellite) : plus légère et résistante, avec crochets discrets.
  • Prothèse complète : pour les patients totalement édentés. Disponible en version classique ou implanto-stabilisée.

Avantages :

✔ Réalisable rapidement

✔ Entretien facile

✔ Solution adaptable à différentes situations cliniques

Indications :

Idéal pour les patients avec plusieurs dents manquantes ou une édentation complète, notamment lorsqu’une solution fixe n’est pas envisageable.

Nos réalisations en adjointes