Au sein de notre laboratoire dentaire, nous mettons un point d’honneur à associer savoir-faire artisanal et innovations technologiques de pointe. Chaque réalisation est conçue avec précision afin de garantir des restaurations fiables, esthétiques et confortables pour vos patients.
Nous investissons dans des équipements de dernière génération pour offrir un travail irréprochable :
Nous sélectionnons des matériaux de haute qualité, certifiés et biocompatibles, pour assurer sécurité et longévité :
En choisissant notre laboratoire, vous bénéficiez de :
La zircone monolithique est une restauration dentaire réalisée entièrement en oxyde de zirconium (zircone). « Monolithique » signifie qu’elle est fabriquée en une seule pièce, sans stratification de différents matériaux.

En résumé, la zircone monolithique est extrêmement solide et durable, idéale pour
les molaires et les zones de forte mastication, mais peut être moins esthétique.
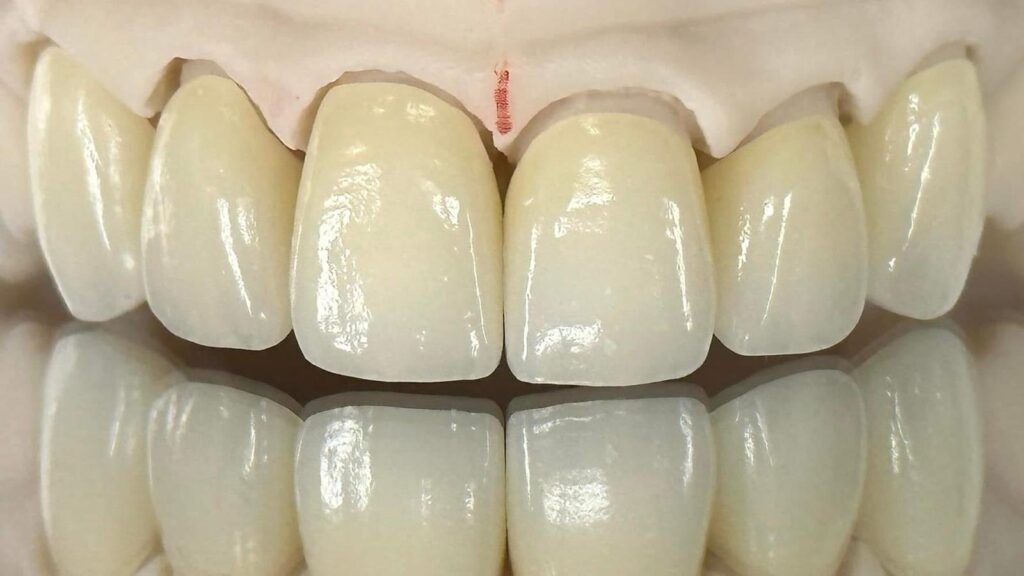
L’Emax monolithique désigne une restauration fabriquée entièrement à partir de céramique à base de disilicate de lithium. Comme pour la zircone, « monolithique » indique une structure en une seule pièce sans couches multiples de matériaux différents.

» La zircone monolithique et l’Emax monolithique sont deux matériaux utilisés en
dentisterie pour la fabrication de restaurations dentaires, comme les couronnes ou
les ponts, chacun ayant des caractéristiques spécifiques. Ces matériaux sont choisis
en fonction de leur emplacement dans la bouche, des besoins esthétiques, et des
forces masticatoires auxquelles ils seront soumis. «
En résumé, la zircone monolithique est extrêmement solide et durable, idéale pour
les molaires et les zones de forte mastication, mais peut être moins esthétique.
(Polyetheretherketone)
Matériau thermoplastique utilisé en prothèse dentaire pour ses nombreuses qualités. Voici un aperçu de ses utilisations et avantages en dentisterie :
En résumé, le PEEK en prothèse dentaire offre une alternative moderne et performante aux matériaux traditionnels, avec des bénéfices substantiels pour le confort du patient et l’esthétique des restaurations.